본문 바로가기
주메뉴 바로가기
주메뉴
레브치과
원장 인사말
의료진 소개
레브치과 소개
진료시간 및 오시는 길
레브네이트
0.02mm 레브네이트
잇몸성형
잇몸웃음교정술
잇몸미백술
치아미백
임플란트
레브 임플란트
네비게이션 임플란트
수면 임플란트
재수술 임플란트
원데이 임플란트
전체 임플란트
치아교정
인비절라인
클리피씨교정
설측교정
통합진료
원데이 충치치료
신경치료
잇몸치료
사랑니발치
일요일 클리닉
상담문의
전후사진
레브네이트
치아교정
임플란트
LANGUAGE
KOREAN
ENGLISH
JAPAN
CHINA
MONGOLIA
VIETNAM
Sign Up
Login
메뉴
닫기
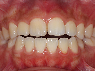
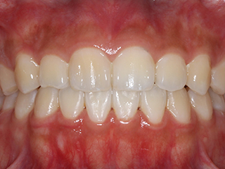
치아교정 전후사진
치아교정 전후사진
개방교합 교정
레브치과
2025-12-01
조회수
8
첨부파일
(
2
)
06-1.jpg (60.5 KB)
06-2.jpg (61.3 KB)
개방교합 교정
목록
다음글
다음글이 없습니다.
이전글
이전글이 없습니다.