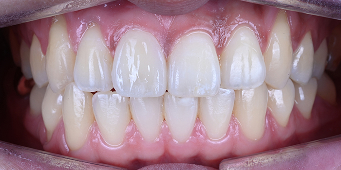
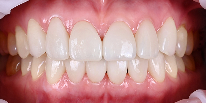
레브치과에서 선보이는 0.02mm 단위의 정밀함을 포함한 최소 삭제 세라믹 라미네이트입니다.
치아를 감싸듯 자연스럽게 마무리되는 세라믹 재질로, 최소한의 치아 삭제만으로도 완벽한 미소를
찾을 수 있습니다.
일반적인 라미네이트보다 더 얇고 정교하게 제작되어 치아의 자연스러운 외관과 기능을
보존하면서도 미적인 개선을 가능하게 합니다. 레브치과만의 특별한 기술과 노하우로 제작된
레브네이트는 자연치와 구분할 수 없을 만큼 완벽한 조화를 이룹니다.


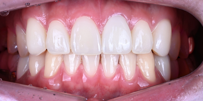
독일 덴츠플라이 시로나 社의 구강스캐너 프라임스캔과 세렉밀링기를 도입하여 초정밀 디지털 스캐닝부터 세라믹 가공까지 완벽하게 구현합니다. 0.02mm의 정교한 제작이 가능한 이 첨단 장비는 레브네이트의 핵심 기술입니다.

미국의 MiYO stain을 사용하여 자연치와 매우 흡사한 형태와 색상을 재현합니다. 전문 세라미스트의 정교한 손길로 이루어지는 컬러링 과정은 마치 예술 작품을 완성하는 듯한 섬세함으로 진행됩니다.
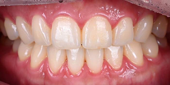
주치의의 세밀한 진단 후 환자 개개인에 맞춘 라미네이트를 단 하루(24시간)안에 제작합니다.
오랜 경력의 전담 세라미스트가 수작업을 통한 채색과 연마 과정을 추가하여 단 한 명을 위한 맞춤형 라미네이트를 완성합니다.
예약 후 진행되는 원데이 레브네이트는 특히 치아 배열이 우수한 환자분은 임시치아 없이 아침부터 저녁까지 당일 제작 및 접착을 완료하여 일상생활로 빠르게 복귀할 수 있습니다.
바쁜 현대인을 위한 최적의 치료 솔루션을 만들기 위해 레브치과는 부단히 노력합니다.

구강 스캔 및 분석 후
주치의 상담

담당 주치의와 세라미스트의
맞춤형 설계

세라믹 라미네이트의
가공 및 컬러링

원데이 장착 및 조정
레브치과에서는 치아 건강을 최우선으로 생각하며, 필요한 경우
교정치료의 선행을 권해드립니다.
이에 따라 치료과정과 기간이 추가될 수 있지만, 장기적인 관점에서 치아 건강과 미적 결과 모두를
만족시키는 최선의 방법입니다. 레브치과은 환자분의 건강한 미소를 위한
최적의 솔루션을 제안합니다.
치아의 상태에 따라 인비절라인, 설측교정 등 다양한 교정 옵션과 함께 종합적인
치료 계획을 수립해 드립니다.
