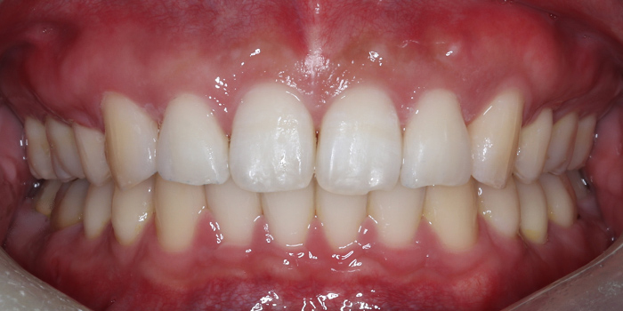
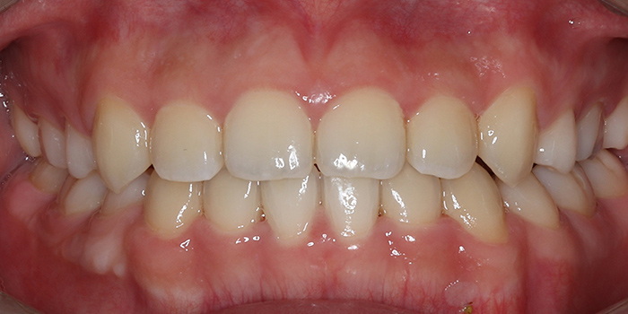
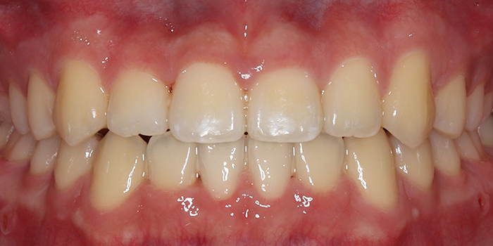
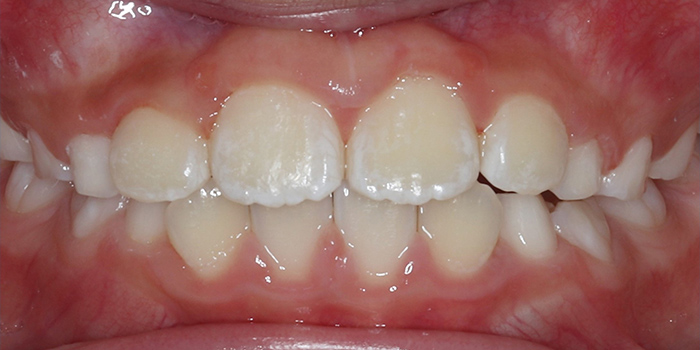
REVE 치아교정
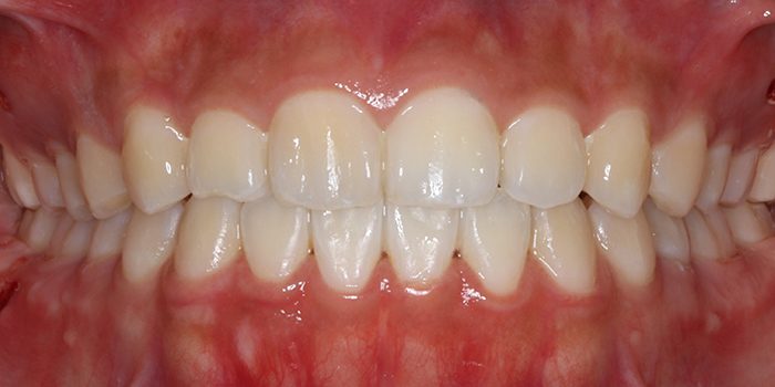
레브치과 치아교정은 정밀한 안모·교합 분석을 기반으로 설계되어 치아의 자연스러운 이동 원칙을 지키며 조화로운 미소를 완성합니다.
미국에 본사를 두고 있는 인비절라인은 최소한의 내원으로 치아의 이동을 체크하고,
새로운 투명교정장치를 교환해가면 되는 진료입니다. 인비절라인 전용 첨단 구강스캐너를
사용해서 보다 빠르고 정확하게 인비절라인 치료를 진행할 수 있습니다.
인비절라인은 투명한 플라스틱 재질의 교정장치로, 눈에 거의 보이지 않아 심미적으로 우수하며
착용감이 편안합니다. 또한 착탈이 가능하여 식사나 양치 시 불편함이 없고,
구강 위생 관리가 용이합니다.






















