재수술 임플란트란?
레브 임플란트는 정교한 3D 분석과 개인별 골조직 설계를 기반으로,
자연 치아의 기능과 구조를 최대한 보존하면서도
가장 안정적이고
편안한 저작감을 구현합니다.
재수술 임플란트는 이미 식립된 임플란트에 문제가 발생하여 제거하고 다시 시술하는
고난이도 치료를 말합니다. 임플란트의 보급은 빠르게 늘어났지만, 그로 인해 수명을 다해
부러지거나 잇몸 질환으로 인해 제거되는 임플란트도 많아졌습니다.
일반적으로 수직적으로 50% 이하의 염증이라면, 제거하지 않고 잇몸치료로 유지가 가능합니다.
하지만 심각한 염증이나 임플란트 실패의 경우에는 제거 후 재수술이 필요합니다.
-
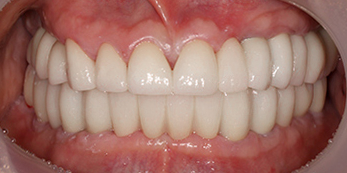
01 50대 만성치주염 남성, 앞니 심미적 개선, 저작 기능의 회복. 치료기간 6개월 -
02 50대 만성치주염 남성, 앞니 심미적 개선, 저작 기능의 회복. 치료기간 6개월 -
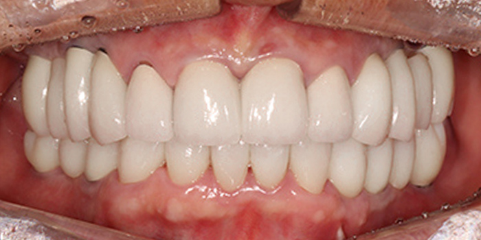
03 60대 만성치주염 남성, 앞니 심미적 개선, 저작 기능의 회복, 치료기간 7개월 -
04 60대 만성치주염 남성, 앞니 심미적 개선, 저작 기능의 회복, 치료기간 7개월 -
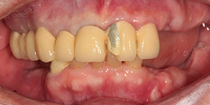
05 60대 남성, 기존 임플란트 부작용으로 재수술, 치료기간 6개월

















